De Veracruz al mundo
Padecía dolores de cabeza, su cerebro estaba lleno de larvas.
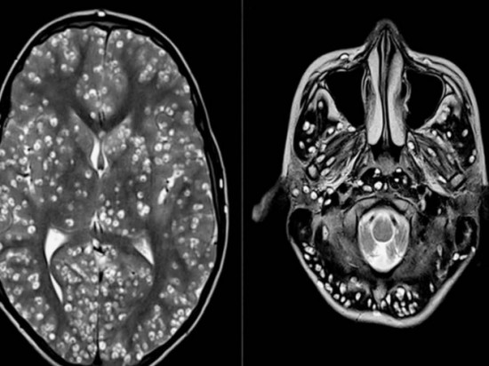
Tras practicarle una resonancia magnética, los especialistas encontraron que la corteza cerebral y el tronco encefálico del paciente estaban llenos de larvas
Jueves 28 de Marzo de 2019
Por: Excelsior
Foto: Excélsior /
Ciudad de México.- Como bien sabes, es necesario lavar los alimentos antes de comerlos y acudir a lugares con buena higiene para evitar enfermedades, desde infecciones leves hasta padecimientos mortales.

Recientemente se dio a conocer el caso de un joven de 18 años plagado con quistes provocados por un parásito porcino.

El afectado, al que tristemente los doctores no pudieron salvarle la vida, acudió a urgecias por fuertes dolores de cabeza y convulsiones.

Tras practicarle una resonancia magnética y exámenes de ultrasonido, los especialistas encontraron que la corteza cerebral y el tronco encefálico del paciente estaban llenos de larvas.

El muchacho padecía neurocisticercosis, una enfermedad parasitaria originada cuando una persona ingiere huevos microscópicos de una tenia porcina y que afecta al tejido muscular. De ahí los parásitos se propagan al cerebro. Los personas infectadas pueden pasar mucho tiempo sin presentar síntomas.

A pesar de que esta afección se puede tratar con medicamentos, el elevado número de quistes no permitió al chico que se le suministraran los fármacos antiparasitarios necesarios.

El paciente fue tratado con corticoides estándares y medicamentos para evitar que se le manifestaran ataques epilépticos. Sin embargo, no se pudo revertir la situación y murió dos semanas después.

Nos interesa tu opinión

  Más noticias
19:10:56 - Arriesgado y complejo enfrentar al huachicol fiscal
19:09:38 - Trionda, el balón del Mundial 2026 con tecnología revolucionaria
19:08:40 - Coberturas y manejo de deuda dan estabilidad fiscal al país, afirma SHCP
19:07:42 - Encapuchados agreden y lesionan a policías durante protesta del 2 de octubre
19:04:06 - Encuentran cuerpo sin vida de mujer en Delicias, Chihuahua, indagan presunto feminicidio
19:03:09 - Chocan policías y manifestantes en el Zócalo por marcha del 2 de octubre
17:40:38 - Detienen a Febronio N en Veracruz, albañil ocultó el cuerpo de su novia Alma Elena en construcción de la Narvarte
17:39:37 - Desmantelan narcolaboratorio de Los Mayos que producía 50 toneladas de metanfetamina a la semana
ver todas las noticias

  Lo más visto
> Directorio     > Quiénes somos
® Gobernantes.com Derechos Reservados 2016